Dos fisuras
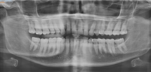
Mi dentista me ha dicho que llevo un tiempo apretando muy fuerte los dientes. No dormido, como hace alguna gente, sino durante el día, frente a la vida. Aparentemente, esa es la causa de las dos fisuras que se han abierto en mis molares, una en cada lado, perfectamente simétricas:

Le he enseñado este video que grabé ayer cruzando el valle, pensando si vería, como yo, la belleza de la metáfora:

Un juego
El video tiene sonido ambiente, pero pide a voces una banda sonora. Una de lluvia, truenos y seguir adelante. Dime la que tú le pondrías y haremos una lista de reproducción con todas.
La llamaremos “Dientes apretados”.

